Болезни и лечение
Одни хвалят этот препарат и считают его своим спасителем, другие настолько боятся его побочных эффектов, что даже готовы терпеть тошноту и рвоту.
Пустырник – растение с ярко выраженными седативными свойствами, благодаря которым он нашел применение в медицине и даже стал компонентом успокоительных
У многих онкология ассоциируется со словами «рак», «карцинома», а лимфома - что это за болезнь? Насколько она опасна? Можно ли ее узнать по симптомам?
Парацетамол относится к анальгетикам с противовоспалительным и жаропонижающим эффектами. Используется в ходе оказания симптоматического лечения, снижения
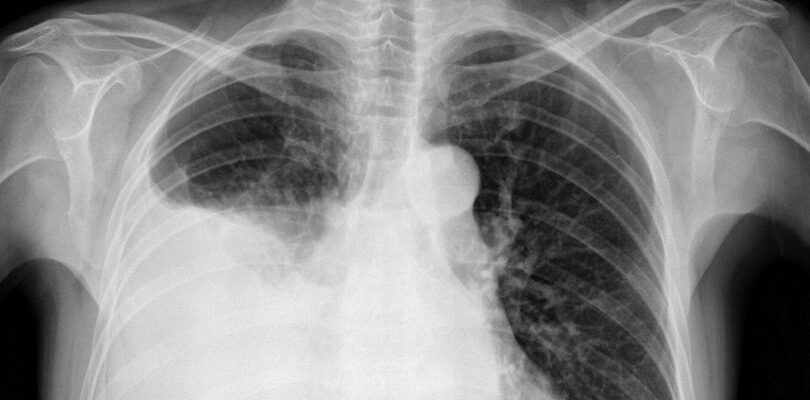
Смертельную угрозу для человека представляет отек легких. Причины и последствия такого патологического состояния могут быть самыми разнообразными.
Каждый человек, пожалуй, мечтает о роскошной белоснежной улыбке, которой манят к себе звезды отечественного и зарубежного шоу-бизнеса. Ввиду воздействия
Первые признаки инфаркта - классические и нетипичные у мужчин и женщин. Что надо знать о начальных симптомах острого сердечного приступа, чтобы остаться в живых?
Сердце, тебе не хочется покоя… В жизни мы многое ассоциируем с сердцем - любовь, боль, переживания, утрату. Даже говорим, что не нужно принимать все близко
Мазь Левомеколь относится к комбинированным средствам местного действия, которые применяют с целью обработки ран и швов после операции, а также назначают
В альтернативной медицине широкую популярность приобрела софора японская. Лечебные свойства этого загадочного растения еще не до конца изучены специалистами.










